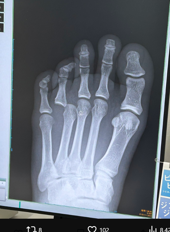
デンサヤームの左足のレントゲン写真。薬指の脱臼が分かる(@MisaKokubo)
この写真の記事へ
【UFC】平良達郎、バキバキ腹筋&腕で計量パス!“NARUTOポーズ”で気合、元王者モレノと激突へ[2025/12/6]
【ONE】モンゴル強豪バータルフー、裸絞めでアンドラージに逆転一本勝ち!バンタム級MMA新王者に[2025/12/6]
勝利のバク宙も…「グキッ!」顔から着地の悲劇「首曲がってるじゃん…」[2025/12/6]
【ONE】ジエゴ・ヘイス、米倉大貴に勝利し新王者に!=サブミッション・グラップリング[2025/12/6]
【ONE】鈴木真治が悔しい2連敗、ロシア強豪のパンチ攻撃に苦戦[2025/12/6]
【イノベーション】三大タイトルマッチ決定!紀州のマルちゃん、沖縄の涼矢が防衛戦[2025/12/6]
【テレビ・配信】12.7『UFC 323』平良達郎 vs モレノ、ドバリシビリ vs ヤン、パントージャ vs ヴァン ほか生中継・放送・配信情報[2025/12/6]
【BD】「一体何があった!」朝倉未来がまさかのブチギレ!激怒させた“喧嘩自慢”監督と一触即発の事態に[2025/12/6]
”最強の女子アナ”堀江聖夏、美脚だけじゃないマッチョな腕も公開!瓦割りの怪我も超回復[2025/12/6]
柔道出身ラウンドガール、ギリギリ身体全開にファン「攻撃力高すぎる」[2025/12/6]
【パンクラス】井村塁、田嶋椋と1年9か月ぶりの再戦に闘志「石渡さんが築いたバンタム級の時代を作る」=12.21[2025/12/5]
【パンクラス】KARENと本野美樹、“血祭り上等”新女王決定戦!「このベルトは私が巻く」=12.21[2025/12/5]
えなこ、ミニスカサンタで今月”初”SASUKE参戦!「お腹鍛えました!」[2025/12/5]
那須川天心と対戦した元ボクシング世界王者、暴行容疑で逮捕!その衝撃シーン公開[2025/12/5]
【K-1】新バンタム級王者・石井一成が電撃参戦!2月大会は5大世界タイトルマッチへ[2025/12/5]
【K-1】金子晃大、5度目の防衛戦が決定!“覚醒の挑戦者”大久保琉唯「格闘技全体を変える」[2025/12/5]
井上尚弥の髪がピンク色に!?決戦前のイメチェン姿に「めっちゃ可愛い..」[2025/12/5]
【UFC】平良達郎、“ボコボコ腹筋”の超仕上がりボディ公開!「AIフィギュアかと思った」ファン驚愕[2025/12/5]
“元祖アイドルレスラー”井上貴子、元櫻坂いとこ姪と2ショットに反響「親戚にビックリ!」「二人とも美しい」[2025/12/5]
バスケで鍛えた身体全開!すみぽん、「カメラどこ撮ってるか分かっちゃう」その表情にファン悶絶[2025/12/4]
(2025年12月03日UP)
(2025年12月02日UP)
(2025年12月01日UP)
(2025年11月30日UP)
(2025年11月29日UP)
(2025年11月28日UP)
(2025年11月27日UP)
(2025年11月26日UP)
(2025年11月25日UP)
(2025年11月24日UP)
eFight 【イーファイト】