マネル・ケイプ、“スパー中の自爆骨折”映像が話題に!ロイバル戦は欠場へ
▼【フォト】ケイプが自爆骨折した瞬間!骨折のレントゲン写真も
(写真はクリックすると拡大します)※動画は下部
- ケイプがローキックで骨折@ManelKapeより
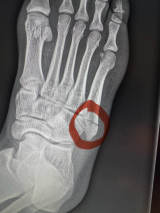
- 骨折した箇所を示すレントゲン写真@ManelKapeより
- 松葉杖姿のケイプ@ManelKapeより
- 動画はページ下部 ▶️表示されない場合はこちらをクリック
【動画】ケイプが自爆骨折した瞬間!骨折のレントゲン写真も
With great regret, I come to inform you that I am out of the next #UFC317 competition.
I suffered a foot fracture during training and, after medical evaluation, I was instructed to have surgery and focus 100% on recovery.
It’s not easy to stay out of something I’ve been… pic.twitter.com/SFSzvLryrO
— Manel Kape (@ManelKape) June 9, 2025
- 1
- 2
- ≪ 前のページへ
- 次のページへ ≫
●編集部オススメ
・【フォト&動画】ケイプが自爆骨折した瞬間!骨折のレントゲン写真も
・UFCで“柵”崩壊で観客が転落、“大惨事”寸前のアクシデント!
・“モデル戦士”ディチェバ、50歳母と美腹筋!母親は驚きの経歴
・UFC女子選手、計量からの増量に「誰!?」激変、別人、ファン衝撃
・“キス事件”で話題となったダイナマイトボディの女子ボクサー、次はMMA転向か?ファン期待の声
この記事が気に入ったら
いいね!しよう
最新情報をお届けします
TwitterでeFight(イーファイト)格闘技情報をフォローしよう!
Follow @efight_twitインスタグラムでeFight(イーファイト)格闘技情報をフォローしよう!









