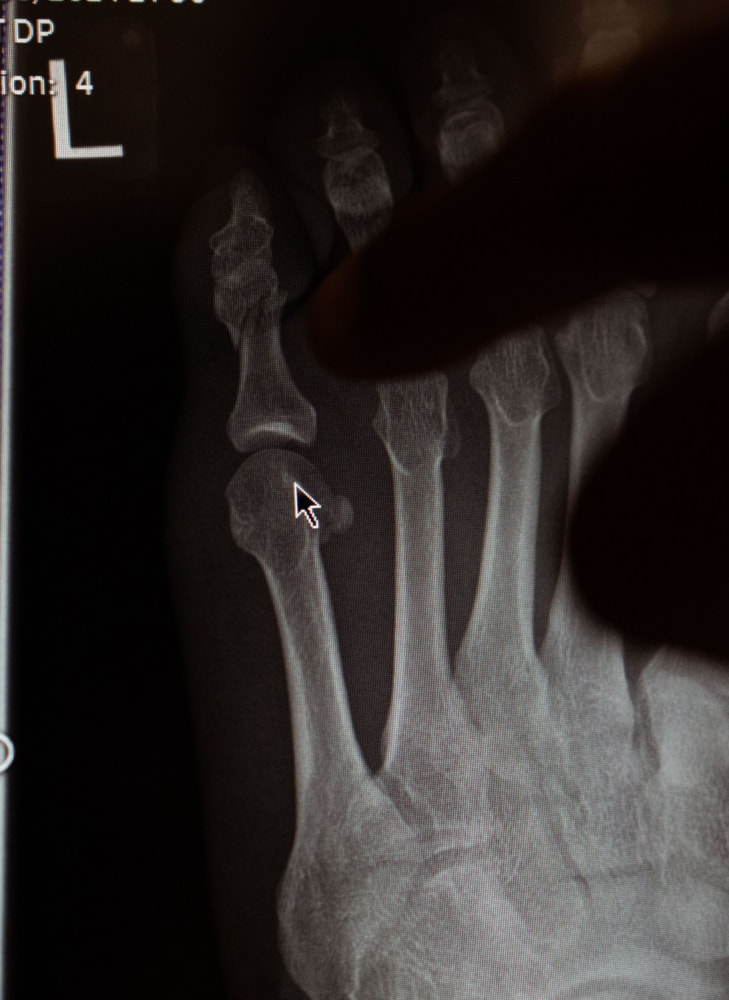
マクレガーが小指骨折で欠場を伝えるレントゲン写真(TheNotoriousMMA)
この写真の記事へ
【パンクラス】井村塁、田嶋椋と1年9か月ぶりの再戦に闘志「石渡さんが築いたバンタム級の時代を作る」=12.21[2025/12/5]
【パンクラス】KARENと本野美樹、“血祭り上等”新女王決定戦!「このベルトは私が巻く」=12.21[2025/12/5]
えなこ、ミニスカサンタで今月”初”SASUKE参戦!「お腹鍛えました!」[2025/12/5]
那須川天心と対戦した元ボクシング世界王者、暴行容疑で逮捕!その衝撃シーン公開[2025/12/5]
【K-1】新バンタム級王者・石井一成が電撃参戦!2月大会は5大世界タイトルマッチへ[2025/12/5]
【K-1】金子晃大、5度目の防衛戦が決定!“覚醒の挑戦者”大久保琉唯「格闘技全体を変える」[2025/12/5]
井上尚弥の髪がピンク色に!?決戦前のイメチェン姿に「めっちゃ可愛い..」[2025/12/5]
【UFC】平良達郎、“ボコボコ腹筋”の超仕上がりボディ公開!「AIフィギュアかと思った」ファン驚愕[2025/12/5]
“元祖アイドルレスラー”井上貴子、元櫻坂いとこ姪と2ショットに反響「親戚にビックリ!」「二人とも美しい」[2025/12/5]
バスケで鍛えた身体全開!すみぽん、「カメラどこ撮ってるか分かっちゃう」その表情にファン悶絶[2025/12/4]
【RIZIN】神龍誠vsヒロヤ、ダウトベックvs久保優太など4カード追加決定=12.31[2025/12/4]
元UFC王者ロンダ・ラウジー、ボクシング挑戦濃厚!相手は2階級統一王者ケイティ・テイラー浮上[2025/12/4]
「雰囲気がらり」キック女王NANA、メイクで別人級に!ボディコンテスト初挑戦でW受賞[2025/12/4]
神龍誠、ATT所属へ!決めた理由は、朝倉海から一本勝ちのUFC王者とのスパーリング[2025/12/4]
那須川天心に試練! WBCが王座挑戦者決定戦にロマゴンに勝利の元王者エストラーダを指令[2025/12/4]
角田夏実、タンクトップ“びしょ濡れ”の池落ちリベンジへ!SASUKE猛特訓で汗[2025/12/4]
”石原さとみ似”安藤京香、プールで「1人ボディコンテスト」でファン魅了[2025/12/4]
【フィットネス】野田クリスタル、目指す理想の体はあのアニメキャラ[2025/12/4]
18歳JKラウンドガール、未公開映像でびしょ濡れに!KUNOICHI初参加で池へドボン[2025/12/3]
【KNOCK OUT】軍司泰斗が雪辱戦に闘志!“初KO負け”の相手ゲーオガンワーンを「3RでKO」宣言[2025/12/3]
(2025年12月02日UP)
(2025年12月01日UP)
(2025年11月30日UP)
(2025年11月29日UP)
(2025年11月28日UP)
(2025年11月27日UP)
(2025年11月26日UP)
(2025年11月25日UP)
(2025年11月24日UP)
(2025年11月23日UP)
eFight 【イーファイト】